欢迎访问金寨县人民医院!

国家三级综合性医院
安徽医科大学第一附属医院金寨医院

当前位置: 网站首页 > 新闻动态 > 本院新闻

“误入歧途”的鸡骨头

--金寨县人民医院呼吸与危重症医学科成功开展支气管镜下异物取出术

发布时间:2020-06-19 17:31:16 信息来源:金寨县人民医院 作者:李惠敏 浏览:3587 次
【字体大小:

     6月17日下午,在中日友好医院万钧博士的带领下,金寨县人民医院呼吸与危重症医学科成功完成了首例支气管镜下异物取出术。

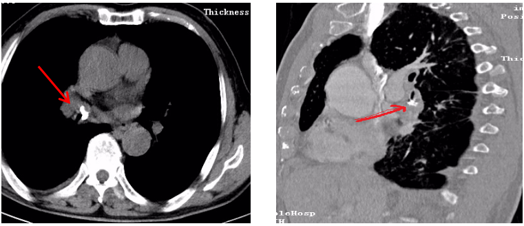
     70多岁的殷大爷近二个月来反复出现咳嗽、咳痰伴呼吸困难,服用很多药物后病情仍未见好转,严重影响了他的生活,深受病痛折磨的他于近日来到县人民医院呼吸与危重症医学科检查。入院后接诊的温大夫立即给他完善了胸部CT检查,检查提示双肺炎性病变;右肺门增大,建议治疗后复查及增强扫描。入院诊断考虑肺炎、肺部占位待排,拟进一步行支气管镜检查。在进行支气管镜常规术前讨论时,在万钧博士带领下,科室全体医护人员对殷大爷的病史进行了仔细认真的讨论,考虑为气管异物的可能性大。在反复追问殷大爷,他对自己是否有进食呛咳的情况完全没有印象。我们又进行了进一步检查,胸部增强CT显示右肺中间段支气管腔内高密度影,异物可能。  

     因异物对气管的损伤,患者反复出现肺部感染,且出血的风险较大,但这种情况需尽早将其取出,否则患者的感染得不到有效的控制,且异物的长期存在将产生更严重的后果。在与家属沟通后,该科做了充分的术前准备,于2020年6月17日下午为殷大爷进行了支气管镜检查。不出所料,镜子下可以清晰的看到右肺中间段支气管处有一异物阻塞管腔,周围已经有肉芽组织生成。万钧博士用他精湛的气管镜技术,终于将“罪魁祸首”取出,这是一块不规则的骨性异物(如下图),如果不及时取出,很有可能因为尖锐外形穿破气管、血管等可导致致命性大出血、或感染迁延不愈。    

 

     因为准备充分,术中及术后殷大爷没有出现明显咯血,各项生命体征平稳,呼吸困难等不适症状也较之前明显缓解。殷大爷和其家属连连向医务人员表示感谢!                

 

     气管支气管异物是临床常见急症,如此不规则、如此之大的异物并不常见,支气管镜下异物取出术是治疗的首选方案。县人民医院呼吸与危重症医学科在中日友好医院万钧博士带领下,现已常规开展支气管镜检查,除此之外,还开展了胸腔镜检查、CT或超声引导下经皮肺穿刺术、肺通气与弥散功能检测、睡眠功能障碍检查等。为了更专业的为患者服务,还开展了慢阻肺、肺结节、戒烟等专病门诊;成立了慢性气道疾病、肺癌、肺栓塞、睡眠障碍等专业学组。经过大家的共同努力,原来许多需要转往上级医院诊治的疾病,现在足不出县也能在我科诊治。

     金寨县人民医院呼吸与危重症医学科将以更专业的水准、更精湛的技术为全县人民服务。

     温馨提示:当在进食时出现呛咳,可能会有异物的误吸,应及时到医院就诊。若出现不明原因的慢性咳嗽,也要警惕是否有支气管异物可能,应及时就医。

 

扫一扫在手机打开当前页