欢迎访问金寨县人民医院!

国家三级综合性医院
安徽医科大学第一附属医院金寨医院

当前位置: 网站首页 > 新闻动态 > 本院新闻

我院外周介入科为一患者行“经颈内静脉肝内门体分流术+胃冠状静脉栓塞术”

发布时间:2020-01-15 14:36:58 信息来源:金寨县人民医院 作者:黄红波 浏览:1305 次
【字体大小:

    患者胡某某,3年前出现反复腹部饱胀,并伴有活动后心慌、胸闷、腰部疼痛。多次住院治疗,6个月前因三系减少,就诊于六安市中医院,行骨髓穿刺术,诊断为脾功能亢进,因血小板及白细胞明显减少,未能行介入手术治疗。

 

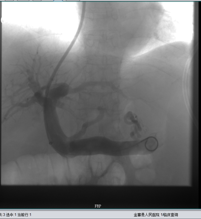
经肝静脉穿刺进入门静脉并显示门静脉

经肝静脉穿刺进入门静脉,建立分流道并显示增粗的胃冠状静脉

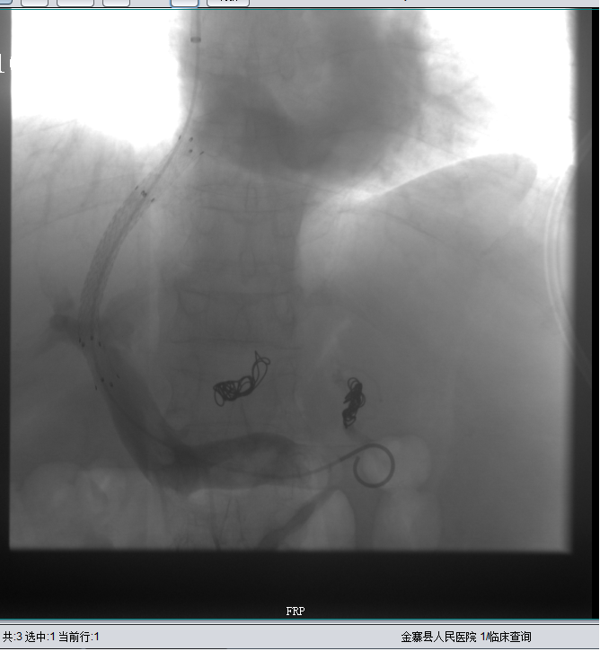
胃冠状静脉栓塞后,未见血流

扩张肝静脉门静脉分流道

肝静脉门静脉分流道通畅

      2020年1月7日再次出现腹胀伴下肢浮肿等症,至我院外周介入科就诊。上腹部增强CT示:1、肝硬化;2、腹水;3、门静脉高压;4、食管下段静脉曲张;5、脾脏增大;6、脾脏局限性梗死。入院时腹围约51cm,积极完善相关辅助检查,于1月10日行“经颈内静脉肝内门体分流术+胃冠状静脉栓塞术”,术后患者腹胀症状明显好转,腹围约38cm,术后给予保肝、抗凝等对症治疗。

术后检查,患者腹胀症状明显好转,在进一步康复中

扫一扫在手机打开当前页