欢迎访问金寨县人民医院!

国家三级综合性医院
安徽医科大学第一附属医院金寨医院

当前位置: 网站首页 > 新闻动态 > 本院新闻

我院外周介入科为一患者行主动脉夹层腔内修复术

发布时间:2020-01-07 15:33:04 信息来源:金寨县人民医院 作者:黄红波 浏览:1353 次
【字体大小:

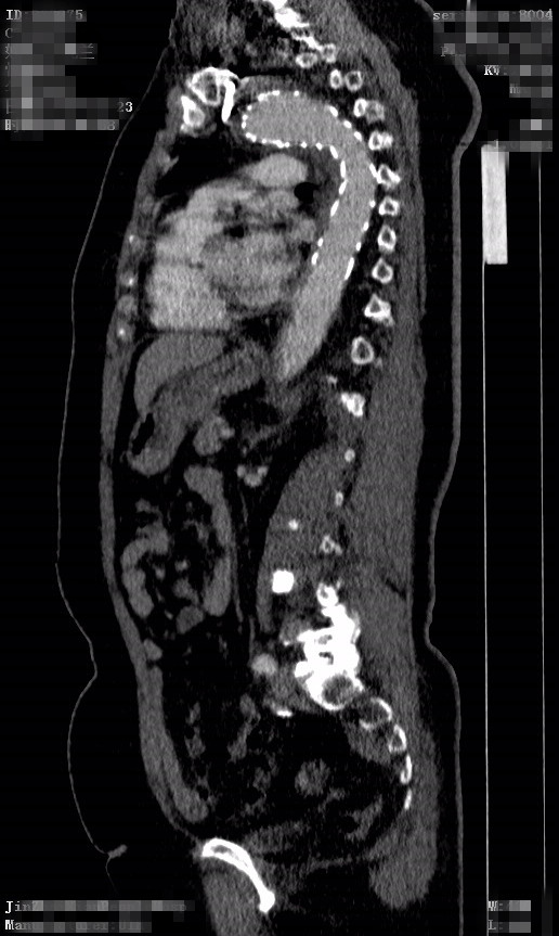
患者王某某,女性,66岁,无明显诱因下出现胸腹部不适,几日后患者自觉疼痛加重,起初未予重视,后疼痛无明显好转,来我院就诊。查胸部CT示:1、左心室增大。2、主动脉增宽,附壁血栓?主动脉夹层待排,建议CTA检查。3、双侧胸腔少量积液。胸腹部主动脉增强CT示:1、主动脉夹层。2、双下肺炎症。3、左侧胸腔积液。4、左心室增大,考虑高心病。入我院外周介入科拟"1.主动脉夹层;2.高血压病2级(极高危组);3.冠心病"收治入院。

入院后给予稳定血压、镇痛等对症治疗。近日,在全麻下行“左上肢动脉、主动脉造影+右股动脉切开+胸主动脉夹层覆膜支架腔内隔绝术”术前主动脉造影示:主动脉大弯侧见龛影,距左锁骨下动脉开口约1cm术后行主动脉造影示:主动脉弓大弯侧龛影消失,左锁骨下动脉显示良好,支架周围未见内瘘。患者术后十天复查支架位置良好。

 

扫一扫在手机打开当前页